Newsletter - April ‘26

A busy month of learning, collaboration, and interesting cases at Sunshine Coast Equine Hospital

It’s been another full and rewarding month at Sunshine Coast Equine Hospital, with a great mix of cases, continued team growth, and some exciting milestones for our wider equine community.


Horse Health Night with Dr Tias presenting

Dr Tias presenting to a packed audience on “Bent legs in foals”

A strong start with our inaugural events

This month marked an important step for us as we hosted our first educational events at the hospital.

Our inaugural veterinary CPD afternoon brought together local veterinarians for an evening of discussion, learning, and connection. Events like these are something we are passionate about, as collaboration with referring vets is at the heart of what we do. A big thank you to Ceva Animal Health, Randlab, Mediquip, and ZebraVet for their support in making the evening possible.

We also held our first Horse Health Night for clients, which was a fantastic opportunity to connect with the local horse community. It was great to see so many engaged owners keen to learn more about their horses’ health and wellbeing. Thank you to Greg Grant Saddlery, Hygain, and Pryde’s EasiFeed for supporting the evening.

We’re looking forward to continuing these events and building a strong, informed equine community on the Sunshine Coast.

Lawsonia in a foal – a quiet start a serious condition

One of our more medically interesting cases this month was an older colt foal who presented quite unwell, with fever and marked hypoproteinaemia (low protein) on admission.

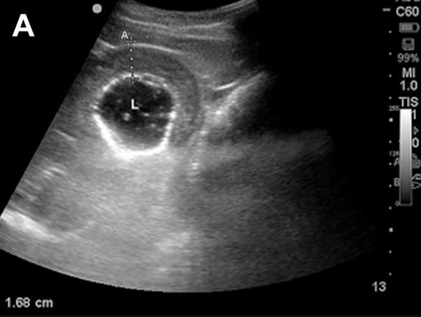
Thickened Small intestine ultrasound

Ultrasound image showing thickened small intestine (normal 3mm)

Ultrasound examination revealed significant thickening of the small intestine, and this, combined with the clinical picture, development of diarrhoea and faecal testing, led to a diagnosis consistent with Lawsonia infection. This condition, caused by the bacterium Lawsonia intracellularis, results in inflammation and thickening of the intestinal wall, which in turn affects nutrient absorption and protein levels.

What makes Lawsonia particularly important to recognise is the wide variation in how it presents. Some foals may show relatively mild signs such as poor growth or subtle lethargy, while others, like this case, can become quite systemically unwell with fever, diarrhoea, and significant protein loss. The latter cases often require intensive management.

Another key consideration is that it is not always an isolated case. Lawsonia can affect multiple horses on a property, and the epidemiology is not always straightforward, which can make management and prevention challenging.

Early recognition and treatment are critical, and this case responded well once therapy was initiated. It serves as a good reminder to keep Lawsonia on the radar, particularly in weanling age horses showing vague or gastrointestinal signs.

Meniscal tears – often hidden within the joint

Dr Tias performing a lameness examination

Specialist surgeon Dr Tias performing a lameness examination

We saw several stifle cases this month, including two horses diagnosed with meniscal tears.

The meniscus is an important structure within the stifle joint that acts as a shock absorber and helps the joint move smoothly. When it is damaged, it can lead to ongoing pain and inflammation, and over time this can affect the overall health of the joint.

Meniscal tears are a significant cause of hindlimb lameness, often acute in onset, but they can also be challenging to definitively diagnose. Intra-articular blocks are not always reliable and ultrasound changes can be subtle, thus these injuries are often difficult to fully assess without arthroscopy, where a small camera is placed directly into the joint to allow detailed evaluation.

One of the horses this month underwent arthroscopic surgery with our surgical team, allowing us to confirm the diagnosis and treat the affected tissue at the same time.

Recovery from these injuries takes time and requires a structured rehabilitation plan. Outcomes can vary depending on the severity of the tear, but identifying the problem and intervening appropriately gives horses the best chance of returning to comfort and work.

These cases are a good reminder that some causes of lameness are not always straightforward, and that further investigation is sometimes needed to reach a definitive diagnosis.

Tie-forward surgery – selecting the right cases

We also performed a tie-forward procedure this month, which is a less commonly performed surgery used in selected cases of upper airway dysfunction.

Racehorse

DDSP is more commonly seen in racehorses

Tie-forward surgery is designed to reposition the larynx (voice box) in horses with dorsal displacement of the soft palate (DDSP). These horses often present with poor performance, abnormal respiratory noise, or an inability to maintain airflow during exercise. It is more commonly recognised in racehorses.

Importantly, this is not a procedure to be taken lightly or used as a first-line treatment. A thorough work-up is essential to rule out other potential causes of upper airway dysfunction. Ideally, this includes a dynamic (overground or treadmill) endoscopic examination, which allows us to assess how the airway behaves during exercise rather than just at rest.

Careful case selection is key to achieving a good outcome, and when performed in the right horse, the procedure can make a significant difference to performance and comfort.


It’s been another month of interesting cases and continued growth for the team at Sunshine Coast Equine Hospital. We’re grateful to be working alongside such a supportive veterinary and horse-owning community and look forward to sharing more with you next month.

Next
Next

Newsletter - March ‘26